Generalidades de la prueba
Una radiografía de pecho es una imagen del pecho que muestra el corazón, los pulmones, las vías respiratorias, los vasos sanguíneos y los ganglios linfáticos. Una radiografía de pecho también muestra los huesos de la columna vertebral y del pecho, incluidos el esternón, las costillas, la clavícula y la parte superior de la columna vertebral. Una radiografía de pecho es el examen de diagnóstico por imágenes o radiografía más común que se utiliza para detectar problemas en el pecho.
Una radiografía de pecho puede ayudar a encontrar algunos problemas en los órganos y en las estructuras internas del pecho. Por lo general, se toman dos imágenes, una desde la parte posterior del pecho y otra desde la parte lateral. En una emergencia, cuando se toma solo una imagen radiográfica, por lo general, se obtiene una proyección frontal. Es posible que los médicos no siempre obtengan la información que necesitan de una radiografía de pecho para encontrar la causa de un problema. Si los resultados de una radiografía de pecho no son normales ni brindan información suficiente acerca del problema en el pecho, es posible que se realicen radiografías más específicas u otras pruebas, como una tomografía computarizada (TC), una ecografía, un ecocardiograma o una resonancia magnética (RM).
Por qué se hace
Una radiografía de pecho se realiza para:
- Ayudar a encontrar la causa de síntomas comunes, como tos, falta de aire o dolor en el pecho.
- Encontrar y controlar el tratamiento de afecciones en los pulmones como neumonía, cáncer de pulmón, enfermedad pulmonar obstructiva crónica (EPOC), colapso pulmonar (neumotórax) o fibrosis quística.
- Encontrar y controlar el tratamiento de algunos problemas del corazón como agrandamiento del corazón, insuficiencia cardíaca y problemas que provocan la acumulación de líquido en los pulmones (edema pulmonar).
- Buscar problemas a causa de una lesión en el pecho, como fracturas en las costillas o daño en los pulmones.
- Encontrar objetos extraños, como monedas u otros trozos pequeños de metal, en el conducto que va al estómago (esófago), las vías respiratorias o los pulmones. Es posible que en una radiografía de pecho no puedan observarse alimentos, nueces ni fibras de madera. Vea una radiografía de una moneda en el esófago.
- Ver si se ha colocado una sonda, un catéter u otro dispositivo médico ha sido colocado en la posición adecuada en una de las vías respiratorias, en el corazón, en los vasos sanguíneos del pecho o en el estómago.
Cómo prepararse
Dígale a su médico si está embarazada o podría estarlo. Por lo general, no se realizan radiografías de pecho durante el embarazo debido a que la radiación podría hacer daño al bebé por nacer (feto). Sin embargo, las probabilidades de hacerle daño al feto son muy pequeñas. Si necesita una radiografía de pecho, usará un delantal de plomo para ayudar a proteger a su bebé.
Hable con su médico acerca de cualquier inquietud que tenga respecto de la necesidad de la prueba, sus riesgos, la manera en que se realizará y el significado de los resultados. Como ayuda para comprender la importancia de esta prueba, complete el formulario de información sobre pruebas médicas .
Cómo se hace
La radiografía de pecho la toma un técnico radiólogo. Las imágenes generalmente las lee un radiólogo, quien escribe el informe. Otros tipos de médicos como un médico de medicina familiar, un internista o un cirujano también podrían revisar las radiografías de pecho.
Deberá quitarse las joyas que podrían interponerse en la imagen radiográfica. Es posible que deba quitarse toda o casi toda la ropa de la cintura para arriba (es posible que no tenga que quitarse la ropa interior si esta no se interpone en la prueba). Se le proporcionará una bata para que use durante la prueba.
Por lo general, se obtienen dos proyecciones radiográficas del pecho. Una proyección se obtiene desde la parte posterior, y la otra proyección se obtiene desde la parte lateral del cuerpo. Sin embargo, podrían ser necesarias otras proyecciones, según lo que su médico esté buscando. En una emergencia, es posible que se tome solo una imagen, por lo general frontal.
Normalmente, uno se pone de pie con la frente contra una placa radiográfica para que le tomen las imágenes. Si debe sentarse o recostarse, alguien le ayudará a colocarse en la posición correcta.
Deberá permanecer muy quieto durante la radiografía para evitar que la imagen salga borrosa. Es posible que se le pida que contenga la respiración algunos segundos mientras se está tomando la imagen radiográfica.
La mayoría de los hospitales y algunas clínicas tienen equipos móviles de rayos X. Si una radiografía de pecho se realiza con un equipo móvil de rayos X en la cama donde se encuentra en un hospital, un técnico radiólogo y una enfermera le ayudarán a colocarse en la posición correcta. Por lo general, se toma solo una imagen frontal.
Qué se siente
No sentirá dolor durante una radiografía de pecho. Es posible que sienta que la placa radiográfica es dura, y la sala podría estar fría. Si tiene dolores a causa de su problema en el pecho, es posible que sienta algunas molestias si debe permanecer en una posición determinada, respirar profundo o contener la respiración mientras se realiza la radiografía.
Riesgos
Siempre hay una pequeña probabilidad de que se produzcan daños en las células o en el tejido debido a la radiación, incluso los bajos niveles de radiación que se usan para esta prueba. Sin embargo, las probabilidades de sufrir daños a causa de las radiografías son generalmente muy bajas en comparación con los beneficios de la prueba.
Resultados
Una radiografía de pecho es una imagen del pecho que muestra el corazón, los pulmones, las vías respiratorias, los vasos sanguíneos y los ganglios linfáticos. Una radiografía de pecho también muestra los huesos de la columna vertebral y del pecho, incluidos el esternón, las costillas, la clavícula y la parte superior de la columna vertebral.
En una emergencia, los resultados de una radiografía de pecho pueden estar disponibles en unos pocos minutos para su revisión por parte de su médico. Si no es una emergencia, los resultados por lo general están listos en 1 o 2 días.
Normal: |
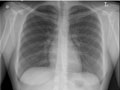
Los pulmones tienen un aspecto normal en cuanto al tamaño y a la forma, y el tejido de los pulmones tiene un aspecto normal. No pueden observarse crecimientos ni otras masas dentro de los pulmones. Los espacios pleurales (los espacios que rodean los pulmones) también tienen un aspecto normal. Vea una radiografía de pecho normal. |
El corazón tiene un aspecto normal en cuanto al tamaño y a la forma, y el tejido cardíaco tiene un aspecto normal. Los vasos sanguíneos que van al corazón y que salen de este también son normales en cuanto al tamaño, a la forma y a la apariencia. |
|
Los huesos, incluidas la columna vertebral y las costillas, tienen un aspecto normal. |
|
El diafragma tiene un aspecto normal en cuanto a la forma y a la ubicación. |
|
No se observa una acumulación anormal de líquido o aire; tampoco se observan objetos extraños. |
|
Todas las sondas, los catéteres u otros dispositivos médicos están en su posición correcta en el pecho. |
|
Anormal: |
Se observa una infección, como neumonía o tuberculosis. |
Es posible que se observen problemas como un tumor, una lesión o una afección como un edema a causa de insuficiencia cardíaca. En algunos casos, es posible que deban realizarse más radiografías u otras pruebas para ver con claridad el problema. |
|
Se observa un problema, como agrandamiento del corazón, que podría ser causado por daño en el corazón, por enfermedad de las válvulas cardíacas o por líquido alrededor del corazón. O bien se observa un problema de los vasos sanguíneos, como agrandamiento de la aorta, un aneurisma o endurecimiento de las arterias ( aterosclerosis). |
|
Se observa líquido en los pulmones ( edema pulmonar) o alrededor de los pulmones ( derrame pleural), o aire en los espacios que rodean el pulmón ( neumotórax). |
|
Se observan huesos quebrados (fracturas) en la caja torácica, la clavícula, el hombro o la columna vertebral. |
|
Se observa un agrandamiento de los ganglios linfáticos. |
|
Se observa un objeto extraño en el esófago, en las vías respiratorias o en los pulmones. |
|
Una sonda, un catéter u otro dispositivo médico pareciera haberse movido de la posición correcta. |
Qué afecta esta prueba
Los resultados de las pruebas podrían no ser útiles por los siguientes motivos:
- Incapacidad para permanecer quieto y contener la respiración cuando se le pide que lo haga durante la prueba.
- Objetos metálicos (como varillas de fijación para la columna vertebral y joyas o cinturones de metal) que se interponen en la imagen radiográfica.
- Obesidad, que puede ocultar problemas en el pecho o puede dificultar la obtención de una imagen radiográfica de buena calidad.
- Dolor en el pecho, que puede ocasionarle dificultades para respirar hondo durante la radiografía.
- Formación de cicatrices causada por una cirugía anterior en los pulmones o cambios a causa de una enfermedad crónica, que podrían hacer que las imágenes radiográficas sean difíciles de leer.
Es posible que una imagen con un equipo móvil no sea igual de nítida que las imágenes tomadas con un equipo fijo.
Información relacionada
Créditos
Revisado: 26 marzo, 2025
Autor: El personal de Ignite Healthwise, LLC
Comité de revisión clínica
Todo el material educativo de Ignite Healthwise, LLC es revisada por un equipo que incluye médicos, enfermeras, profesionales sanitarios avanzados, dietistas registrados y otros profesionales de atención médica.
Revisado: 26 marzo, 2025
Autor: El personal de Ignite Healthwise, LLC
Comité de revisión clínica
Todo el material educativo de Ignite Healthwise, LLC es revisada por un equipo que incluye médicos, enfermeras, profesionales sanitarios avanzados, dietistas registrados y otros profesionales de atención médica.

