Generalidades de la prueba
La resonancia magnética es una prueba que utiliza un campo magnético e impulsos de energía de ondas de radio para obtener imágenes de la columna vertebral. En muchos casos, una resonancia magnética proporciona información diferente a la de una radiografía, una ecografía o una tomografía computarizada. Una resonancia magnética también puede mostrar problemas que no pueden verse con otras pruebas de imagen.
Para una resonancia magnética, se coloca su cuerpo dentro de una máquina que contiene un potente imán. Las imágenes de una resonancia magnética pueden guardarse y almacenarse en una computadora para su posterior estudio. En algunos casos, puede utilizarse un material de contraste durante la resonancia magnética para mostrar con mayor claridad determinadas partes del cuerpo.
La resonancia magnética puede detectar cambios en la columna vertebral y en otros tejidos. También puede detectar problemas como una infección o un tumor. La resonancia magnética puede observar la columna vertebral en el cuello (cervical), la parte superior de la espalda (torácica) o la parte inferior de la espalda (lumbosacra). Se puede ver toda la columna vertebral en una serie de imágenes para detectar un tumor. Pueden tomarse imágenes más detalladas de una zona, como la columna lumbar.
Puede utilizarse una resonancia magnética para comprobar los problemas lumbares.
Existen dos tipos principales de resonancia magnética: la máquina de resonancia magnética cerrada y la máquina de resonancia magnética abierta.
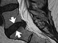
Cómo es una imagen de resonancia magnética
 
       La imagen es cortesía de Intermountain Medical Imaging, Boise, Idaho. Todos los derechos reservados.
Una vista lateral de la columna lumbar muestra discos, conducto vertebral y raíces nerviosas normales (ver figura 1). Las raíces nerviosas normalmente flotan en el conducto lleno de líquido. La figura 2 muestra una pequeña hernia de disco que sobresale en el conducto en dirección a las raíces nerviosas.
Por qué se hace
Se hace una resonancia magnética de la columna vertebral para:
- Detectar problemas de los discos vertebrales, como un disco roto. La prueba también puede mostrar si un disco está presionando un nervio, causando síntomas como la ciática.
- Encontrar zonas de la columna vertebral en las que el conducto está anormalmente estrechado (estenosis del conducto vertebral) y que pueden necesitar cirugía.
- Encontrar tumores que afecten a los huesos o los nervios de la columna vertebral. Los tumores que con más frecuencia se extienden a la columna vertebral son los del cáncer de próstata, seno (mama) o pulmón.
- Encontrar fracturas por compresión de la columna vertebral.
- Comprobar las zonas de inflamación articular (artritis) o pérdida ósea detectadas durante una radiografía o una gammagrafía ósea.
- Encontrar zonas de la columna vertebral que no tienen un buen riego sanguíneo.
- Encontrar una infección.
- Encontrar daños en los nervios causados por lesiones o enfermedades, como la esclerosis múltiple.
- Comprobar los problemas de la columna vertebral presentes desde el nacimiento (congénitos).
Una resonancia magnética puede realizarse utilizando material de contraste para ver el tejido anormal con mayor claridad. El material de contraste también puede ayudar a diferenciar entre antiguas cicatrices quirúrgicas y una nueva enfermedad o lesión.
Sepa más
Cómo prepararse
En general, no tiene que hacer nada antes de esta prueba, a menos que el médico se lo indique.
Infórmele al médico si se pone nervioso en espacios reducidos. Es posible que le den un medicamento para ayudarle a relajarse. Si cree que le darán este medicamento, asegúrese de tener a alguien que lo lleve a casa.
Cómo se hace
- Es posible que le introduzcan material de contraste (tinte) en el brazo a través de un tubo llamado vía intravenosa (IV).
- Se tumbará en una camilla que forma parte del escáner de resonancia magnética.
- La camilla se deslizará dentro del espacio que contiene el imán.
- Dentro del escáner, oirá un ventilador y sentirá el movimiento del aire. Es posible que oiga golpecitos o chasquidos. Es posible que le den tapones para los oídos o auriculares para reducir el ruido.
- Se le pedirá que permanezca quieto durante la exploración. Es posible que se le pida que contenga la respiración durante breves períodos de tiempo.
- Es posible que esté solo en la sala de exploración. Pero un auxiliar de clínica lo observará a través de una ventana y hablará con usted durante la prueba.
Cuánto dura la prueba
La prueba suele durar entre 30 y 60 minutos, pero puede prolongarse hasta 2 horas.
Mire
Qué se siente
No sentirá dolor por el campo magnético o las ondas de radio utilizadas para la prueba de resonancia magnética. Es posible que se sienta cansado o dolorido por permanecer tumbado en una misma posición durante mucho tiempo.
Si se utiliza un material de contraste, puede sentir algo de frío cuando se lo pongan en la vía intravenosa (IV).
En raras ocasiones, puede sentir:
- Hormigueo en la boca si tiene empastes dentales metálicos.
- Calor en la zona que se está revisando. Esto es normal. Informe al auxiliar de clínica si tiene náuseas, vómitos, dolor de cabeza, mareos, dolor, ardor o problemas respiratorios.
Riesgos
No se conocen efectos nocivos del fuerte campo magnético utilizado para una resonancia magnética. Pero el imán es muy potente. Puede afectar a cualquier implante metálico u otros dispositivos médicos que tenga.
Riesgos del material de contraste
En esta prueba puede utilizarse material de contraste que contenga gadolinio. Pero para la mayoría de las personas, el beneficio de su uso en esta prueba supera el riesgo. Asegúrese de informarle al médico si tiene problemas renales o está embarazada.
Existe una ligera posibilidad de que se produzca una reacción alérgica si se utiliza material de contraste durante la prueba. Pero la mayoría de las reacciones son leves y pueden tratarse con medicamentos.
Si da el pecho y le preocupa la seguridad del material de contraste utilizado en esta prueba, hable con el médico. La mayoría de los expertos creen que muy poco tinte pasa a la leche materna y aún menos pasa al bebé. Pero si le preocupa, puede dejar de dar el pecho hasta 24 horas después de la prueba. Durante este tiempo, puede darle a su bebé la leche materna que almacenó antes de la prueba. No utilice la leche materna que se saque durante las 24 horas posteriores a la prueba. Tírela.
Resultados
El radiólogo puede comentar con usted algunos de los resultados de la resonancia magnética justo después de la prueba. Los resultados completos suelen estar listos para el médico en 1 o 2 días.
Normales:
- Los huesos de la columna vertebral, los discos y los nervios son normales.
- No hay tumores, inflamación ni zonas con daños en los nervios de la columna vertebral.
- No hay enfermedad ni pérdida ósea en la columna vertebral.
- No hay discos rotos. No hay estructuras que presionen un nervio.
- No se encuentran problemas estructurales presentes desde el nacimiento (problemas congénitos).
Anormales:
- Hay tumores, inflamación o zonas de daño nervioso en la columna vertebral. Se detecta una enfermedad de la médula espinal, como la esclerosis múltiple.
- Existe un estrechamiento del conducto vertebral (estenosis del conducto vertebral).
- Se encuentran huesos rotos o pérdidas óseas en la columna vertebral causadas por lesiones o enfermedades, como la artritis.
- Uno o varios discos de la columna vertebral están abultados o rotos o presionan un nervio.
- Hay una afección presente desde el nacimiento (afección congénita) en la columna o las vértebras.
Créditos
Revisado: 31 julio, 2024
Autor: El personal de Ignite Healthwise, LLC
Comité de revisión clínica
Todo el material educativo de Ignite Healthwise, LLC es revisada por un equipo que incluye médicos, enfermeras, profesionales sanitarios avanzados, dietistas registrados y otros profesionales de atención médica.
Revisado: 31 julio, 2024
Autor: El personal de Ignite Healthwise, LLC
Comité de revisión clínica
Todo el material educativo de Ignite Healthwise, LLC es revisada por un equipo que incluye médicos, enfermeras, profesionales sanitarios avanzados, dietistas registrados y otros profesionales de atención médica.





