Generalidades de la prueba
Una ecografía de seno usa ondas sonoras para formar una imagen de los tejidos que se encuentran dentro del seno. Una ecografía de seno puede mostrar todas las zonas del seno, incluida la zona más cercana a la pared torácica, que es difícil de evaluar con una mamografía. La ecografía de seno no usa rayos X ni otros tipos de radiación posiblemente perjudiciales.
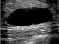
Una ecografía de seno se usa para ver si un bulto en el seno está lleno de líquido (un quiste) o si es un bulto sólido. Una ecografía no reemplaza la necesidad de una mamografía, pero con frecuencia se usa para revisar resultados anormales de una mamografía.
En una ecografía de seno, una unidad pequeña manual, que se llama transductor, se desliza suavemente de un lado a otro del seno. Una computadora convierte las ondas sonoras en una imagen, en una pantalla de televisión. La imagen se llama sonograma o ecografía.
Por qué se hace
La ecografía de seno puede añadir información importante a los resultados de otras pruebas, como una mamografía o imágenes por resonancia magnética (MRI, por sus siglas en inglés). También podría proporcionar información que no se encuentra con una mamografía. Podría hacerse una ecografía de seno a fin de:
- Encontrar la causa de los síntomas en el seno, como dolor, hinchazón y enrojecimiento.
 - Revisar un bulto en el seno, detectado en un autoexamen de los senos o en un examen físico. Se usa para ver si un bulto en el seno está lleno de líquido (es un quiste) o si es un bulto sólido. Es posible que un bulto que no tiene líquido o que tiene líquido con partículas flotantes requiera ser sometido a más pruebas.
 - Revisar los resultados anormales de una mamografía.
 - Examinar los senos en mujeres más jóvenes debido a que su tejido mamario a menudo es más denso y es posible que una mamografía no muestre muchos detalles.
 - Guiar la colocación de una aguja u otro tubo para drenar una recolección de líquido (quiste) o de pus (absceso), tomar una muestra de tejido mamario (biopsia) o guiar una cirugía de seno.
 - Prestar atención a los cambios en el tamaño de un quiste o de un abultamiento no canceroso (fibroadenoma).
 - Ver la extensión del cáncer en el seno.
 - Revisar los senos si usted tiene implantes mamarios de silicona o senos densos. En estas situaciones, es posible que una mamografía no detecte bultos en los senos.
 
Cómo prepararse
Use un conjunto de dos piezas, de manera que resulte fácil desvestirse de la cintura para arriba.
Hable con su médico de cualquier preocupación que tenga sobre la necesidad de la prueba, sus riesgos, cómo se hará o qué significarán los resultados. Como ayuda para comprender la importancia de esta prueba, complete el formulario de información sobre pruebas médicas .
Cómo se hace
Una ecografía de seno es realizada, por lo general, por un técnico especialmente capacitado.
Le pedirán que se desvista de la cintura para arriba. Le darán una bata para que se coloque alrededor de los hombros. Quítese todas las joyas del cuello.
Se le pondrá gel en el seno para que el transductor pueda detectar las ondas sonoras a medida que se mueve de un lado a otro del seno. Se puede ver una imagen del tejido mamario en una pantalla de televisión.
Por lo general, una ecografía de seno dura entre 15 y 30 minutos. Es posible que se necesite más tiempo si se realizará un examen del seno o si también se está planificando realizar una biopsia. Es posible que le pidan que espere hasta que un radiólogo haya revisado las imágenes. El radiólogo podría querer realizar más vistas de ecografía de algunas áreas de su seno.
Qué se siente
Cuando se le coloque gel en el seno, es posible que lo sienta frío. Sentirá una leve presión causada por el transductor a medida que se desliza por el seno, pero no debería sentir ninguna molestia a menos que su seno esté sensible debido a cambios fibroquísticos en el seno, un absceso u otra infección. No escuchará las ondas sonoras. Podría usarse una ecografía Doppler especial para revisar el flujo de sangre al seno; puede escuchar las ondas sonoras de este tipo de ecografía.
Riesgos
No se conocen riesgos en relación con la realización de una ecografía de seno.
Resultados
Una ecografía de seno usa ondas sonoras para formar una imagen de los tejidos que se encuentran dentro del seno.
Es posible que el radiólogo hable con usted acerca de los resultados de la ecografía inmediatamente después de la prueba. Por lo general, los resultados completos están a disposición de su médico en el término de 1 a 2 días.
Normal:  | 
          
  | 
         
Anormal:  | 
          
  | 
         
Qué afecta esta prueba
Es posible que no se le pueda realizar la prueba o que los resultados no sean útiles si tiene una herida abierta en el área del seno.
Información relacionada
Créditos
Revisado: 31 julio, 2024
Autor: El personal de Ignite Healthwise, LLC
Comité de revisión clínica
Todo el material educativo de Ignite Healthwise, LLC es revisada por un equipo que incluye médicos, enfermeras, profesionales sanitarios avanzados, dietistas registrados y otros profesionales de atención médica.
Revisado: 31 julio, 2024
Autor: El personal de Ignite Healthwise, LLC
Comité de revisión clínica
Todo el material educativo de Ignite Healthwise, LLC es revisada por un equipo que incluye médicos, enfermeras, profesionales sanitarios avanzados, dietistas registrados y otros profesionales de atención médica.

